Multiple myeloma triple therapy now on PBS
Australians with newly diagnosed multiple myeloma (MM) can now access a treatment regimen combining Revlimid (lenalidomide), Velcade (bortezomib) and dexamethasone on the Pharmaceutical Benefits Scheme (PBS). Known as triplet therapy, each drug in the combination has a different mechanism of action to kill myeloma cells, and all work together to help fight the disease.
From 1 June 2020, the three-drug regimen will be reimbursed on the PBS for the treatment of all newly diagnosed MM patients, irrespective of transplant eligibility. The announcement coincides with an article published in Medical Journal of Australia’s MJA Insight, highlighting the importance of maximising first-line therapy for MM.
“The typical journey of a patient with myeloma is one of response, remission and relapse, so early intervention with first-line treatment options remains the best opportunity to optimise long-term patient outcomes,” said article author Professor Miles Prince, Clinical Haematologist and Director of Cancer Immunology and Molecular Oncology at Epworth Healthcare, Melbourne.
“While myeloma remains incurable, the survival rate for the disease has significantly improved over the past two decades, with the median survival rate having more than doubled to seven years, Professor Prince said.
“The listing of these treatments on the PBS is critical to improving patient access, and the reimbursement of an additional first-line therapy option for multiple myeloma is welcomed news.”
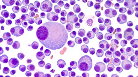
MM is an incurable blood cancer that develops from plasma cells, a type of white blood cell found in the bone marrow. Approximately 18,000 Australians are living with MM at any given time, only half of whom will survive five years after diagnosis.
Myeloma Australia CEO Steve Roach said today’s PBS listing is good news for the Australian myeloma community.
“This is the first time in Australia that the major treatment options for myeloma have been reimbursed as a triplet therapy. I’m really pleased that the government and the Pharmaceutical Benefits Advisory Committee (PBAC) have seen the importance of this and would like to congratulate them on reimbursing another treatment option for the Australian myeloma community.
“It’s really important for Australians living with myeloma that they have another treatment option, as improved access to therapy options is what can give families more time with their loved ones,” Roach said.
Free, nurse-led support line for primary liver cancer now open
October is Liver Cancer Awareness Month, and Liver Foundation has launched a free, nurse-led...
Queensland Health responds to Metro North Health review and Townsville HHS investigation
Queensland Health Director-General Dr David Rosengren has responded to the Metro North Health...
SA launches strategy to "virtually eliminate HIV transmission" by 2030
The SA Government has launched its South Australian HIV Strategy 2025–2030 — a...
